
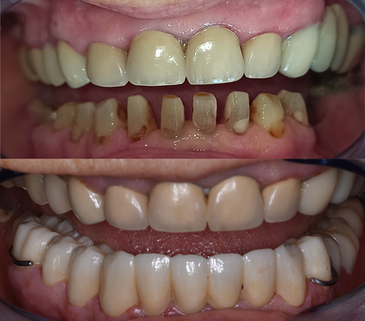
Какво представляват зъбните коронки и мостове?
Зъбната коронка или мост е капачка с формата на зъб. Зъболекарите използват коронки за възстановяване на слаби, счупени или разрушени зъби.
Коронката приляга върху целия зъб, подобно на плътна шапка. За да се гарантира правилното прилягане, зъболекарят ще трябва да отстрани малко количество емайл, преди да залепи новата коронка на мястото ѝ.
Зъботехниците изработват коронки и мостови тела от различни материали, включително пластмаса, керамика, метал и цирконий.
Как протича процедурата по изработване и поставяне на зъбни коронки?
Поставянето на зъбна коронка обикновено изисква две срещи:
Първо посещение
Стъпките за процедурата по поставяне на зъбна коронка включват:
Подготовка на зъба. За да подготви зъба ви за коронка, зъболекарят ще трябва да отстрани част от естествения ви емайл. Така се освобождава място за новата коронка и се гарантира, че тя ще остане на мястото си, след като бъде залепена. Вашият зъболекар може също така да използва материал за запълване, за да изгради определени части на зъба. По време на тази стъпка основната цел е да се създаде здрава основа за новата ви коронка.
Зъбни отпечатъци. След това ще вземе отпечатъци от зъбите Ви. Това могат да бъдат физически отпечатъци, взети с материал, подобен на силикон, или в кабинета на д-р Добрев цифрови отпечатъци, взети с ръчен скенер. Вашият зъболекар ще изпрати тези отпечатъци в зъботехническа лаборатория. Там техник ще ги използва, за да изработи персонализираната коронка.
Поставяне на временна коронка. Обикновено са необходими две до три седмици, а понякога и повече, за да може зъботехническата лаборатория да изработи новата Ви коронка. Докато чакате окончателната коронка, вашият зъболекар ще постави временна коронка или мост.
Второ посещение
Когато лабораторията завърши новата ви коронка или мост, тя ще я изпрати обратно в кабинета на вашия зъболекар. По време на второто посещение в кабинета вашият зъболекар ще:
-
Ще отстрани временната коронка;
-
Ще провери формата, цвета и прилягането на новата коронка;
-
Ще залепи новата коронка към зъба ви с помощта на здрав стоматологичен цимент.

Цени за зъбни корони и мостве във Варна
Цените на коронки и мостовете във Варна варират според материалалите, от които се изработват. Най-добре е да се обсъдят със стоматолога, който посещавате, преди започване на работа.



