
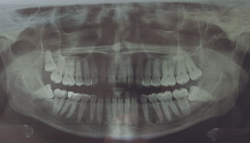
Какво представлява ретиниран мъдрец ?
Ретиниран мъдрец е напълно оформен зъб, който е напълно скрит в челюстната кост или не е поникнал напълно, а само фрагмент от коронката му се вижда на повърхността. Това може да причини много неприятни симптоми, включително кариес на съсдения, повтарящ се гингивит или болка в челюстта. Най-често проблемът със задържани/ретинирани зъби засяга мъдреците.
Как протича процедурата по вадене на ретиниран мъдрец? И още...
Най-напред ще ви бъде поставена местна упойка. След това се разрязва венецът, за да може специалистът да получи достъп до зъба.Коронкта му се остранява при необходимост. След това раната се обработва и зашива.
Осемте зъба най-често се появяват на възраст между 17 и 25 години, но те могат да поникнат и на много по-късна възраст или изобщо да не се появят в устата.
Факт е, че се разрушават по-често. Това е следствие от тяхната форма и положение, което прави много по-трудно тяхното цялостно почистване. Въпреки това често се повтаря митът, че мъдреците винаги трябва да бъдат отстранени.
В такъв случай какви са индикациите за хирургично отстраняване на осми зъб?
На първо място, напреднал кариес. В този случай лечението на канали не винаги е ефективно. Друга индикация за отстраняване на осми зъби са ортодонтските проблеми. Мъдрецът може да причини изтласкване на останалите зъби, което има сериозни последици. Те включват не само криви зъби, но и значително увеличават риска от инфекции и кариеси. Възпалението на венците също е индикация за отстраняването им. Натрупаните бактерии могат да доведат до инфекция на организма.
Неправилното пробиване на мъдрец може да доведе и до увреждане на корените на съседните зъби, което до довете до отстраняването и на двата.



